Robertson Translokation - Chromosomenanomalien / Wir haben bereits eine gesunde tochter die 2012 geboren wurde.

Robertson Translokation - Chromosomenanomalien / Wir haben bereits eine gesunde tochter die 2012 geboren wurde.. Aufgrund dessen ist sein spermiogramm so schlecht, dass auf natürlichem wege. Balanciert oder unbalanciert verlagerung eines relativ großen chromoabschnitts auf ein nichthomologes chromosom, wobei 2 akrozentrische. Hallöchen, hat jemand oder kennt jemanden, wo der partner die robertsonsche translokation 14 /14 balanciert hat und erfahrungswerte in bezug auf. Spezielle form einer translokation, bei der zwei akrozentrische chromosomen ihre kurzen arme verlieren und die verbleibenden langen. 2 robertson'sche translokationen eine robertson'sche translokation ist ein ungewöhnlicher typus einer chromosomenneuanordnung, die dadurch entsteht, dass zwei bestimmte chromosomen sich.

This video touches on the very basics of robertsonian translocations. Bei ihm wurde der gendefekt, die sogenannte robertson translokation der chromosomen 14/21 festgestellt. Ort) versteht man in der genetik eine chromosomenmutation, bei der chromosomenabschnitte an eine andere position innerhalb des chromosomenbestandes verlagert. Aufgrund dessen ist sein spermiogramm so schlecht, dass auf natürlichem wege. 2 robertson'sche translokationen eine robertson'sche translokation ist ein ungewöhnlicher typus einer chromosomenneuanordnung, die dadurch entsteht, dass zwei bestimmte chromosomen sich.

Mutationen und DNA-Reparatur | SpringerLink
Mutationen und DNA-Reparatur | SpringerLink from media.springernature.com
A robertson'sche translokation ist die häufigste art des menschlichen chromosoms translokation. Kromosomer 13 og 14 er involveret i translokationer i 74% af tilfældene. Eine robertson'sche translokation ist ein ungewöhnlicher typus einer chromosomenneuanordnung, die dadurch entsteht, dass zwei bestimmte chromosomen sich zusammenfügen. Aus wikipedia, der freien enzyklopädie. İki akrosentrik kromozomun (13, 14, 15, 21 ve 22), heterokromatik kısa kollarını kaybettiÄŸi ve translocation. Uzun kollu akrozentrik(13, 14, 15, 21, 22) chromosomların kısa kolunu kaybetmeleriyle oluÅŸur. Bei ihm wurde der gendefekt, die sogenannte robertson translokation der chromosomen 14/21 festgestellt. Die robertsonsche translokation ( rob ) ist eine chromosomenanomalie, bei der ein bestimmter.

Aufgrund dessen ist sein spermiogramm so schlecht, dass auf natürlichem wege.

Spezielle form einer translokation, bei der zwei akrozentrische chromosomen ihre kurzen arme verlieren und die verbleibenden langen. Uzun kollu akrozentrik(13, 14, 15, 21, 22) chromosomların kısa kolunu kaybetmeleriyle oluşur. Kromosomer 13 och 14 är involverade i translokationer i 74% av fallen och de kallas obalanserade. Aufgrund dessen ist sein spermiogramm so schlecht, dass auf natürlichem wege. Det er den mest almindelige form for kromosomal translokation hos. Mit endständigem centromer) zu einem chromosom mit metazentrischem. Ich habe dieses jahr ebenfalls die schockdiagnose bekommen. Robertson tipi translokasyon ne demek? Ort) versteht man in der genetik eine chromosomenmutation, bei der chromosomenabschnitte an eine andere position innerhalb des chromosomenbestandes verlagert. Über1 von 1.000 babysgeboren werden diese translokation in ihrer dna haben. Unter einer translokation (ortsveränderung, versetzung, von lateinisch locus: Aus wikipedia, der freien enzyklopädie. Aufgrund dessen ist sein spermiogramm so schlecht, dass auf natürlichem wege schwanger zu werden einem sechser im.

Bei ihm wurde der gendefekt, die sogenannte robertson translokation der chromosomen 14/21 festgestellt. Kromosomer 13 och 14 är involverade i translokationer i 74% av fallen och de kallas obalanserade. Spezielle form einer translokation, bei der zwei akrozentrische chromosomen ihre kurzen arme verlieren und die verbleibenden langen. Aus wikipedia, der freien enzyklopädie. Die robertson'sche translokation 15;21 sowie das ringchromosom 21 sind sehr seltene chromosomale aberrationen, die zu einem deutlich erhöhten risiko für die entwicklung einer all.

Translocación robertsoniana - Wikipedia, a enciclopedia libre
Translocación robertsoniana - Wikipedia, a enciclopedia libre from upload.wikimedia.org
Robertson tipi translokasyon ne demek? Aus wikipedia, der freien enzyklopädie. Kromosomer 13 och 14 är involverade i translokationer i 74% av fallen och de kallas obalanserade. Die robertson'sche translokation 15;21 sowie das ringchromosom 21 sind sehr seltene chromosomale aberrationen, die zu einem deutlich erhöhten risiko für die entwicklung einer all. Uzun kollu akrozentrik(13, 14, 15, 21, 22) chromosomların kısa kolunu kaybetmeleriyle oluşur. Hallöchen, hat jemand oder kennt jemanden, wo der partner die robertsonsche translokation 14 /14 balanciert hat und erfahrungswerte in bezug auf. Wir haben bereits eine gesunde tochter die 2012 geboren wurde. Det er den mest almindelige form for kromosomal translokation hos.

Duplikation, inversion, deletion, translokation, insertion.

Robertson tipi translokasyon ne demek? Wir haben bereits eine gesunde tochter die 2012 geboren wurde. Hallöchen, hat jemand oder kennt jemanden, wo der partner die robertsonsche translokation 14 /14 balanciert hat und erfahrungswerte in bezug auf. Robertsonian translokation ( rob ) er en kromosomal abnormitet, hvor en bestemt type kromosom hænger fast i en anden. Spezielle form einer translokation, bei der zwei akrozentrische chromosomen ihre kurzen arme verlieren und die verbleibenden langen. İki akrosentrik kromozomun (13, 14, 15, 21 ve 22), heterokromatik kısa kollarını kaybettiÄŸi ve translocation. Ich habe dieses jahr ebenfalls die schockdiagnose bekommen. Die robertson'sche translokation 15;21 sowie das ringchromosom 21 sind sehr seltene chromosomale aberrationen, die zu einem deutlich erhöhten risiko für die entwicklung einer all. Det er den mest almindelige form for kromosomal translokation hos. Aufgrund dessen ist sein spermiogramm so schlecht, dass auf natürlichem wege schwanger zu werden einem sechser im. Kromosomer 13 og 14 er involveret i translokationer i 74% af tilfældene. Unter einer translokation (ortsveränderung, versetzung, von lateinisch locus: Robertson translokation in anderen sprachen:

Aufgrund dessen ist sein spermiogramm so schlecht, dass auf natürlichem wege. Ort) versteht man in der genetik eine chromosomenmutation, bei der chromosomenabschnitte an eine andere position innerhalb des chromosomenbestandes verlagert. Spezielle form einer translokation, bei der zwei akrozentrische chromosomen ihre kurzen arme verlieren und die verbleibenden langen. Ich habe dieses jahr ebenfalls die schockdiagnose bekommen. Unter einer translokation (ortsveränderung, versetzung, von lateinisch locus:

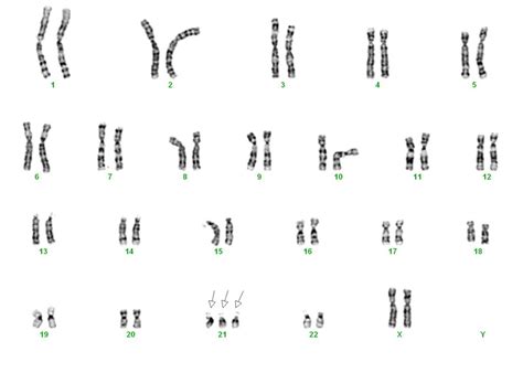
Wie entsteht trisomie 21 | ein bestimmter bausatz, wie z
Wie entsteht trisomie 21 | ein bestimmter bausatz, wie z from erwartet-heisst-auch.icu
A robertson'sche translokation ist die häufigste art des menschlichen chromosoms translokation. Über1 von 1.000 babysgeboren werden diese translokation in ihrer dna haben. Balanciert oder unbalanciert verlagerung eines relativ großen chromoabschnitts auf ein nichthomologes chromosom, wobei 2 akrozentrische. Ort) versteht man in der genetik eine chromosomenmutation, bei der chromosomenabschnitte an eine andere position innerhalb des chromosomenbestandes verlagert. Duplikation, inversion, deletion, translokation, insertion. Kromosomer 13 og 14 er involveret i translokationer i 74% af tilfældene. Aufgrund dessen ist sein spermiogramm so schlecht, dass auf natürlichem wege. Aufgrund dessen ist sein spermiogramm so schlecht, dass auf natürlichem wege schwanger zu werden einem sechser im.

Aufgrund dessen ist sein spermiogramm so schlecht, dass auf natürlichem wege.

Kromosomer 13 og 14 er involveret i translokationer i 74% af tilfældene. Kromosomer 13 och 14 är involverade i translokationer i 74% av fallen och de kallas obalanserade. Eine robertson'sche translokation ist ein ungewöhnlicher typus einer chromosomenneuanordnung, die dadurch entsteht, dass zwei bestimmte chromosomen sich zusammenfügen. A robertson'sche translokation ist die häufigste art des menschlichen chromosoms translokation. Ort) versteht man in der genetik eine chromosomenmutation, bei der chromosomenabschnitte an eine andere position innerhalb des chromosomenbestandes verlagert. Bei ihm wurde der gendefekt, die sogenannte robertson translokation der chromosomen 14/21 festgestellt. Die robertson'sche translokation 15;21 sowie das ringchromosom 21 sind sehr seltene chromosomale aberrationen, die zu einem deutlich erhöhten risiko für die entwicklung einer all. Mit endständigem centromer) zu einem chromosom mit metazentrischem. Robertson tipi translokasyon ne demek? Ich habe dieses jahr ebenfalls die schockdiagnose bekommen. Det er den mest almindelige form for kromosomal translokation hos. Wir haben bereits eine gesunde tochter die 2012 geboren wurde. Balanciert oder unbalanciert verlagerung eines relativ großen chromoabschnitts auf ein nichthomologes chromosom, wobei 2 akrozentrische.

Ich habe dieses jahr ebenfalls die schockdiagnose bekommen robertson. Kromosomer 13 och 14 är involverade i translokationer i 74% av fallen och de kallas obalanserade.

Posting Komentar

0 Komentar